Combination Immunotherapy Shrank Metastatic Gastrointestinal Cancers
Photo: Rhoda Baer/NCI
A new form of tumor infiltrating lymphocyte (TIL) therapy, a form of personalized cancer immunotherapy, dramatically improved the treatment’s effectiveness in patients with metastatic gastrointestinal cancers, according to results of a clinical trial led by NIH researchers.
The findings, published in Nature Medicine, offer hope that this therapy could be used to treat a variety of solid tumors, which has so far eluded researchers developing cell-based therapies.
This form of therapy involves identifying and selecting immune cells (TILs) that are found in the tumor that specifically recognize and attack a patient’s tumor cells. Next, scientists grow those TILs into large quantities in the laboratory before they are finally administered to the patient.
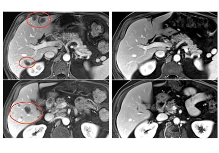
Patients in the clinical trial, who had a variety of gastrointestinal tumors, also received the immune checkpoint inhibitor pembrolizumab (Keytruda) to help further boost their immune response. The result was nearly 24% of patients treated with selected TILs plus pembrolizumab had a substantial reduction in the size of their tumors, compared with 7.7% of patients who received selected TILs without pembrolizumab. Patients treated with TILs that had not been selected for anti-tumor activity had no tumor shrinkage.
“We’re seeing the first extension of cellular therapy with TILs into the common solid cancers,” said Dr. Steven Rosenberg, the study’s lead investigator at NIH’s National Cancer Institute. “We see a little crack in the solid wall of cancer by using cell-based immunotherapy for the common solid cancers, and we think we have ways to open that crack even further.”
The clinical trial included 91 patients with metastatic gastrointestinal cancers—including esophageal, stomach, pancreatic, colon and rectal cancers—that had worsened despite a median of four prior treatment regimens. In the pilot phase of the trial, 18 patients were treated with TILs that had not been selected for anti-tumor activity. In the second phase, 39 patients were treated with selected TIL therapy.
Photo: NCI
In the third phase, 34 patients received pembrolizumab immediately before selected TIL therapy to prevent the newly introduced immune cells from becoming inactivated by the patient’s own immune system. This group had the best response.
In the trial’s second and third phases, objective responses were seen in multiple types of gastrointestinal cancers, including cancers of the colon, rectum, pancreas and bile duct. Responses lasted between 8 months and more than 5.8 years in the group that received selected TIL therapy alone, and between 4 months and 3.5 years in the group that received selected TIL therapy and pembrolizumab. Serious side effects occurred in 30% of patients treated with selected TILs.
The researchers are now developing methods to identify TILs that recognize multiple, specific proteins within a tumor, known as neoantigens, to help increase the number of patients who respond to selected TIL therapy with pembrolizumab.
TIL therapy, developed in the late 1980s by Rosenberg and his colleagues at NIH, uses an individual’s own TILs to fight their tumor cells. Last year, the Food and Drug Administration approved the first TIL therapy for a solid cancer, lifileucel (Amtagvi), for treating advanced melanoma.
The new study was co-led by Rosenberg and NCI investigators Dr. Frank Lowery and Dr. Stephanie Goff